
Prathab Muniandy is known for an extraordinary smile – thanks to having more teeth than the average person. The 33-year-old Malaysian father holds the record for the most teeth in a male mouth, with a total of 42 teeth! FYI, an average adult would have just 32 teeth.
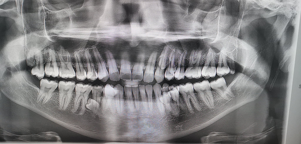
Prathab first noticed something unusual in 2021 during a casual family tea-time conversation. After counting together, they found he had 38 teeth at the time. A dental X-ray later revealed four additional unerupted teeth, bringing the total to 42 by early 2023. Fortunately, most of his teeth grew normally without complications.
Interestingly, most people don’t notice anything unusual about his smile unless he points it out. When they do find out, reactions are often a mix of surprise and disbelief – especially upon learning he has significantly more teeth than the average person.
Official verification
His record was officially confirmed in 2023 after examinations by two dentists. What makes his case even more remarkable is that, beyond the visible teeth, two more remain unerupted.
Thankfully all the extra teeth grew without complications
Despite having extra teeth, Prathab experiences no negative effects. He maintains good oral hygiene by brushing twice daily and flossing regularly, ensuring his dental health remains in top condition.
If he can floss through so many teeth, what’s your excuse?
He has 2 more teeth yet to erupt

Reflecting on his Guinness World Record, he shared that it feels incredible and truly unique to hold a world record for having the highest number of teeth.
He also credits his dentists, Dr Shovannia and Dr Arivinthaan, for their support and care throughout his journey.
Female record holder for the most teeth in the world
On the female side, Kalpana Balan from India holds the record with 38 teeth.
Follow Wah Piang for more.